Unicameral Bone Cyst vs Aneurysmal Bone Cyst: Unicameral Bone Cysts and Aneurysmal Bone Cysts are both benign bone cavity disorders that primarily affect young people, but their interior structures differ. Unicameral cysts contain a single fluid-filled chamber, whereas aneurysmal cysts have many blood-filled compartments, affecting their development pattern and treatment method.
Difference Between Unicameral Bone Cysts and Aneurysmal Bone Cysts
Unicameral Bone Cyst (UBC) and Aneurysmal Bone Cyst (ABC) are both types of bone lesions, but they have distinct characteristics. Listed below are the differences between them:
|
Feature |
Unicameral Bone Cyst (UBC) |
Aneurysmal Bone Cyst (ABC) |
|
Pathogenesis |
Etiology not fully understood; imbalance in bone formation and resorption |
Characterized by vascular proliferation and blood-filled spaces within bone |
|
Appearance on Imaging |
Well-defined, lytic lesion with thin sclerotic borders |
Expansile, multiloculated lesion with "soap bubble" or "honeycomb" appearance |
|
Location |
Metaphysis of long bones (e.g., proximal humerus, proximal femur) |
Can occur in any bone, but frequently in metaphysis of long bones and vertebral bodies |
|
Age of Onset |
Most common in children and adolescents |
Diagnosed in children, young adults, but can occur at any age |
|
Histopathology |
Single cystic cavity lined with fibrous tissue |
Multiple blood-filled cystic spaces separated by fibrous septa |
|
Behavior |
Typically asymptomatic; may cause pain and fractures |
More aggressive with rapid growth, potential for local destruction, pain, and fractures |
|
Treatment |
Observation, curettage, injection of corticosteroids, bone grafting |
Curettage with or without adjuvant therapy, surgical resection in some cases |
|
Recurrence Rate |
Generally low after treatment |
Higher recurrence rate if not adequately treated |
|
Associated Conditions |
Often solitary lesions; may occur with other bone disorders |
Can be primary or secondary, associated with other bone lesions |
|
Prognosis |
Generally good with appropriate treatment |
Prognosis varies; considered less favorable due to aggressive nature |
Order the Best Jogger Scrub from Here!
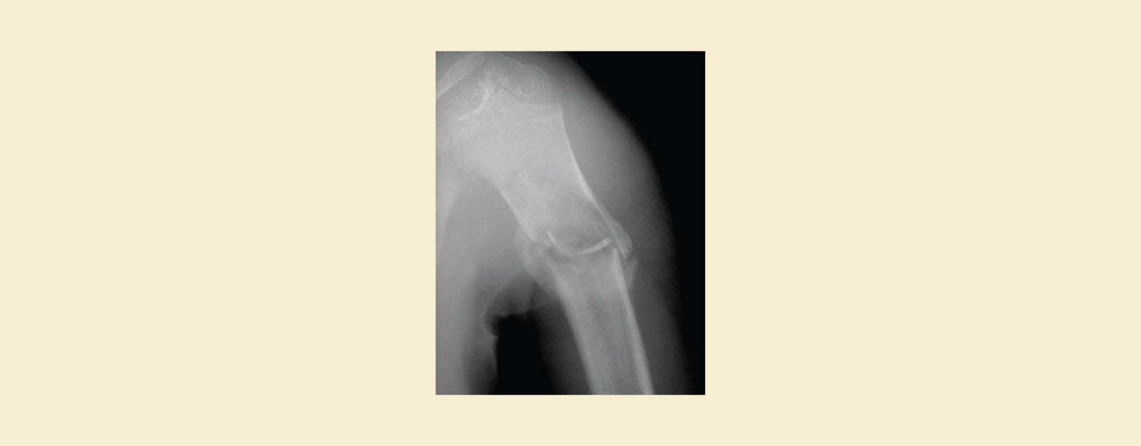
What is a Unicameral Bone Cyst?
Unicameral bone cysts, also known as simple bone cysts, are fluid-filled cavities that form inside bones, primarily affecting children and teenagers. They show as single chambers (unicameral) on X-rays and are commonly found in the upper arm or leg bones. UBCs are often benign and do not require treatment until they cause discomfort, bone weakness, or fracture.
Browse Best Scrubs Collection
Key Features of Unicameral Bone Cyst:
- Typically affects children and teenagers under the age of twenty. It is most usually present in the proximal humerus (upper arm bone) and the proximal femur.
- X-rays show a single, well-defined, fluid-filled cavity (unicameral, meaning "one chamber") in the bone's middle section (metaphysis). The surrounding bone may have a narrow ring of reactive bone development.
- Although most cases are asymptomatic, some people may suffer discomfort or swelling in the afflicted location, especially if the cyst weakens the bone and causes a fracture.
- Usually requires surveillance because the cyst often disappears spontaneously during skeletal development. If the cyst is substantial and provides a fracture risk, surgery may be required, including curettage (scraping) and bone grafting.
What is an Aneurysmal Bone Cyst?
Aneurysmal bone cysts, while likewise benign, are more aggressive than UBCs. They have blood-filled gaps within the bone, which can cause substantial growth and weakness. ABCs can appear at any age, although they are more frequent in children and teenagers. Unlike UBCs, ABCs frequently contain numerous chambers (multilocular) and can infect any bone in the body.
Explore All Women's Scrub
Key Features of Aneurysmal Bone Cyst:
- Can occur at any age, but is more common in children and young adults. Can damage any bone, but is most typically found in the distal femur (lower leg bone), proximal humerus (upper arm bone), proximal tibia (lower leg bone), and spine.
- X-rays reveal a more expansive, multi-chambered (multicameral) fluid-filled cavity with a thinner, occasionally bulging, bony exterior. May be eccentric (off-center) within the bone.
- Its rapid development can cause discomfort, edema, and even bone deformities. Rapid growth might also indicate cancer.
- The aggressive nature usually necessitates surgery. Curettage, bone grafting, and, in rare cases, the implantation of bone fillers or stabilising implants are also treatment possibilities.
Shop Best Lab Coats from Here!
Similarities Between Unicameral Bone Cysts and Aneurysmal Bone Cysts
- Unicameral and aneurysmal bone cysts are both benign bone abnormalities.
- They can both result in discomfort and pathological fractures.
- Imaging modalities such as X-ray, CT scan, and MRI are used to diagnose and monitor these disorders.
- Surgical intervention may be used in therapeutic procedures, however the amount and intensity of the therapy vary.
- If not properly treated, both illnesses have the potential to reoccur.
Unicameral bone cysts (UBC) and aneurysmal bone cysts (ABC) are benign bone tumours that mostly affect children and teenagers. They differ, however, in terms of internal composition and development trends. UBCs are fluid-filled cavities with a single chamber, but ABCs have several blood-filled compartments and are more active in expanding and weakening the bone. Distinguishing between Unicameral Bone Cyst and Aneurysmal Bone Cyst is critical for accurate diagnosis and treatment, since UBCs frequently cure naturally and ABCs may necessitate surgery.
| Check out More Articles | |
| Difference Between Cartilage And Bone | |
| Difference Between Endocrine And Exocrine Glands | |
| Difference Between Cell Wall And Cell Membrane |
